- Προσωπικά Στοιχεία: Το όνομά σας, η διεύθυνσή σας, το τηλέφωνό σας και το email σας.
- Στόχος: Μια σύντομη δήλωση σχετικά με τον επαγγελματικό στόχο σας, δηλαδή τον τομέα εργασίας που επιθυμείτε να εξερευνήσετε.
- Εκπαίδευση: Περιγράφετε τις ακαδημαϊκές σας επιτυχίες, όπως πτυχία, μεταπτυχιακά, διδακτορικά, και άλλες εκπαιδευτικές
Διαγνωστικές εξετάσεις αρτηριών
Doppler Αγγείων – Σφυροβραχιόνιος Αρτηριακός Δείκτης Πίεσης (ABPI)
Οι διαγνωστικές εξετάσεις των αρτηριών περιλαμβάνουν διάφορες μεθόδους που χρησιμοποιούνται για να αξιολογήσουν την κατάσταση και τη λειτουργία των αρτηριών.
περισσότερα
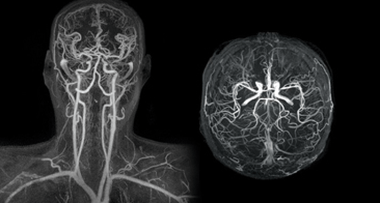
Η Μαγνητική Αγγειογραφία (MRA) είναι μια μη επεμβατική εξέταση που χρησιμοποιεί τη μαγνητική τεχνολογία και τους υπολογιστές για να δημιουργήσει λεπτομερείς εικόνες των αγγείων στο εσωτερικό του σώματος, συμπεριλαμβανομένων των αρτηριών και των φλεβών.
Ο ABPI είναι χρήσιμος για την αξιολόγηση της περιφερικής αρτηριακής ανεπάρκειας.
Η μικροσκληροθεραπεία είναι μια θεραπευτική διαδικασία που χρησιμοποιείται για τη θεραπεία κιρσών και άλλων αγγειακών διαταραχών.
Οι διαγνωστικές εξετάσεις των αρτηριών περιλαμβάνουν διάφορες μεθόδους που χρησιμοποιούνται για να αξιολογήσουν την κατάσταση και τη λειτουργία των αρτηριών.
Η Μαγνητική Αγγειογραφία (MRA) είναι μια μη επεμβατική εξέταση που χρησιμοποιεί τη μαγνητική τεχνολογία και τους υπολογιστές για να δημιουργήσει λεπτομερείς εικόνες των αγγείων στο εσωτερικό του σώματος, συμπεριλαμβανομένων των αρτηριών και των φλεβών.
Ο ABPI είναι χρήσιμος για την αξιολόγηση της περιφερικής αρτηριακής ανεπάρκειας.
Η μικροσκληροθεραπεία είναι μια θεραπευτική διαδικασία που χρησιμοποιείται για τη θεραπεία κιρσών και άλλων αγγειακών διαταραχών.
Ένα σύγχρονο και τεχνολογικό ιατρείο αγγειοχειρουργού θα ενσωματίζει πολλές σύγχρονες τεχνολογίες και πρακτικές προκειμένου να παρέχει υψηλής ποιότητας φροντίδα για προβλήματα που σχετίζονται με τον αγγειακό σύστημα. Ορισμένα χαρακτηριστικά που μπορεί να έχει ένα τέτοιο ιατρείο περιλαμβάνουν:
Αυτά τα χαρακτηριστικά συμβάλλουν στη δημιουργία ενός ιατρείου αγγειοχειρουργού που προσφέρει σύγχρονη, ασφαλή και αποτελεσματική φροντίδα για ασθενείς με προβλήματα αγγείων.